念願のリテーナー
保定のためのリテーナーが出来上がったので受け取りに行きました。
今日は3か月ごとの定期検診(クリーニング)も予定しています。
名前は「ビベラ」

リテーナーが出来上がったので
はめてみてくださいね。
「ビベラリテーナー」は白の保管ケース付きでした。
3セット入りです。(高いです)

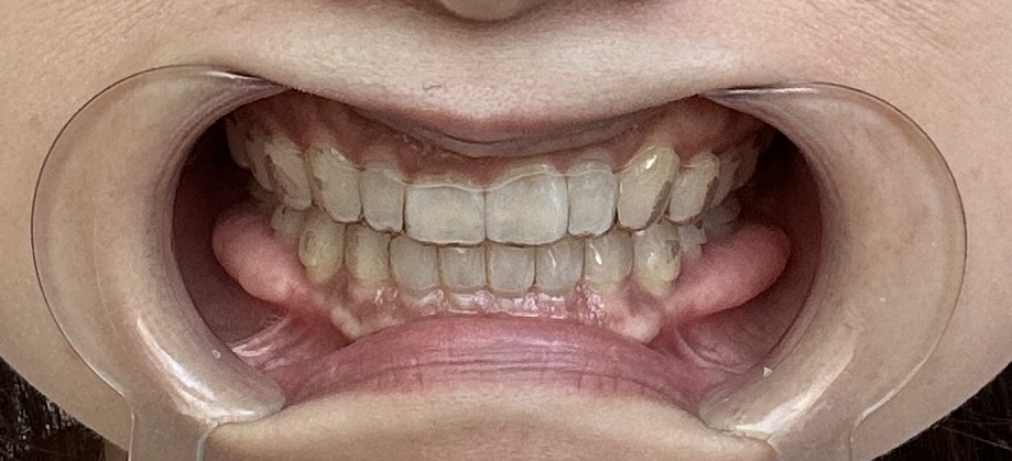
見た目は今までのアライナーと変わりなく見えるけど
はめてみると硬い! なんだかモゴモゴするぞ…

結構硬いですね…それに分厚いような…
厚みのある感じですが 締め付け感はありません。

今までは歯を動かすためでしたが これからは動かないようにするためですからね。はずす練習をしてみましょうか。
はずす時どちらか片方に大きく力をかけると
真ん中で折れてしまうといけないので
左右に徐々に外していくようにとのこと。
硬さがあってしならないので慣れるまでちょっとコツがいりそうです。

おはようございます!
確認しますのでね 開いてください!…いいですね!
・これから半年間は一日21時間装着
・大丈夫そうなら一日16時間を半年
・その後一日8~10時間を一生涯
というのが一般的ですが
これからの定期検診で様子を見ながら決めましょうとのこと。
思ってたより装着時間長くてしょぼーん。

裏側からのワイヤー(FIX)も考えたのですがやわらかいワイヤーなんですよね。
食いしばりしたり 歯がすり減ったりすると力の向きが変わるので
ぷちさんの場合は覆ってあげた方がいいということでこちらに決めました。
歯の裏側に細いワイヤーが付いているの見たことあるぞ
確かアイススケートの羽生くんが雄たけびした瞬間に見えたんだよね。

あとは清掃性の問題ですね。
ワイヤーだとフロスが難しいですよ。

(ワイヤーいいなと思ったけどフロスできないのは無理だわ💧)
「これからも定期検診で管理していきましょうね~」と先生は去って行かれました。
フッ素キライ

このまま健診に移りますね。
今回も磨き残しはほとんどなくて 歯周ポケットの深さもほぼすべてが3mmでした。
奥歯の4mmのところも汚れがなく推移しているので問題なし。
ちいさな虫歯も進行していないとのこと。よかったよかった。
最後にフッ素を塗るのですが今日はなんと
リテーナーの中にフッ素が入ったものを渡されました。
…けっこうもりもりに入ってますけど…?
案の定口中にあふれるフッ素。う゛う゛う゛キモチワルイ🤮

うがいはダメですよ つばを吐いてください
とめどなく湧き出る唾液(汚くてすみません)
何度つばを吐いてもダメ! フッ素苦手だわ💧💧💧
先生が来るまでお待ちくださいと言われ
んー?今フッ素付きのリテーナーはめたところですけど??

やっぱり外してください💦

最後にもう一度見ておきたくて。
うん!素晴らしいですねぇ!
にこにこと満足そうな先生でした。
次はホームホワイトニング
リテーナーに移行したらやってみたかった
ホームホワイトニング!
とりあえず薬剤を4本購入しました。
ホワイトニングは初めてなので ネットでも情報収集してからやってみたいと思います。
リテーナーはこんな感じで全然目立ちません。
食いしばり民なので 寝ている間も歯を守ってくれそうな安心感。

今回クリーニングしてくれた歯科衛生士さん
新人さんだったのかな?
他の歯科衛生士さんが見守っているようでした。
磨く時のペーストが顔に飛び散るたびゴシゴシと拭いてくれるのだけど
こりゃファンデーションはげはげ覚悟だな💦と。
いいよいいよ 最初は誰だって不慣れなもんだよね。
で、帰って鏡を見たらムラムラの顔の上に 薬剤がパリパリに張り付いてた。
この顔でうっかり帰りにパン屋さんに寄っちまいましたよ💦
しかし若くてとっても美人さんでしたよ。
歯科衛生士さんてなぜみんな美人さん?マスクの下の歯並びも絶対きれいだよね!?
↓↓ポチッとフォローしてね↓↓



コメント